Cabinet Dentaire Cap 3000 SELARL
Chirurgien-Dentiste à SAINT LAURENT DU VAR - Dr Charles Fakoury
Cabinet dentaire centre commercial CAP 3000, 06700 SAINT LAURENT DU VAR
+33 4 93 19 04 74
Cabinet Dentaire Cap 3000 SELARL
Chirurgien-Dentiste à SAINT LAURENT DU VAR - Dr Charles Fakoury

CAS CLINIQUES

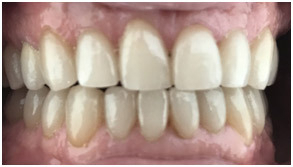
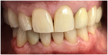
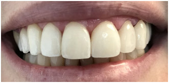
Traitement global par facettes céramiques,inlay céramiques et couronnes céramiques

Avant
Après

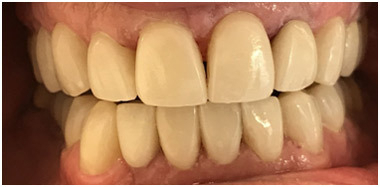
Facettes céramiques antérieures haut et bas

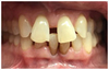
Avant
Après

Réhabilitation globale par facettes céramiques, onlaycéramiques et couronnes céramiques

Facettes céramique adulte
Facettes céramique
Facettes céramique après

Facettes céramiques maxillaire sup

Avant
Après

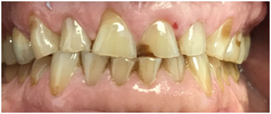
Réhabilitation globales par facettes, onlaycéramiques

onlaycéramiques avant
onlaycéramiques avant traitement
traitement onlaycéramiques
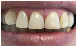
facettes céramiques
facettes céramiques après
traitement facettes céramiques

Coiffe tout céramique

traitement céramique adulte
coiffe tout céramique