Cabinet Dentaire Cap 3000 SELARL
Chirurgien-Dentiste à SAINT LAURENT DU VAR - Dr Charles Fakoury
Cabinet dentaire centre commercial CAP 3000, 06700 SAINT LAURENT DU VAR
+33 4 93 19 04 74
Cabinet Dentaire Cap 3000 SELARL
Chirurgien-Dentiste à SAINT LAURENT DU VAR - Dr Charles Fakoury

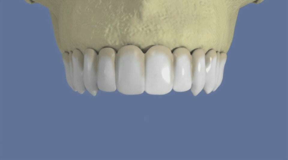
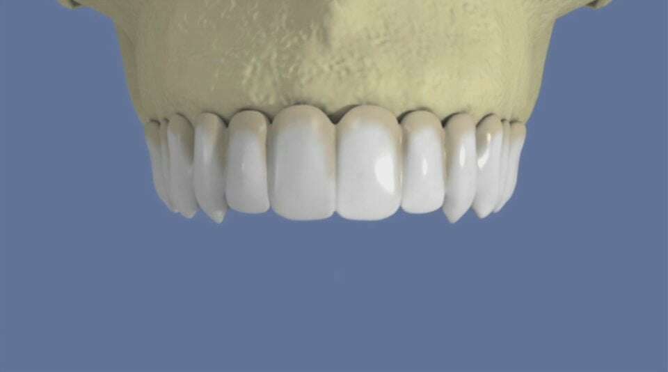
Maxillaire : bridge vissé sans fausse gencive


video-play-icon